テーマは「虫歯ゼロ」・「機能的な歯並び」
お子さんCHILD


- 優しい「女性ドクター」在籍
- 唾液検査で「虫歯リスク」チェック
- 「マタニティ歯科」も行っています

詳しくはこちら




麻酔時そして治療時の痛みを最小限にするための取り組みを行っています。

様々な機材や治療法を駆使し、歯を削る量を最小限にする取り組みを行っています。

歯の神経は、歯を長持ちさせるためには欠かせないものです。可能な限り神経を残します。

医療人としての「在り方」が 問われる時代
医療の進歩により、効率的な
治療ができるようになりました。
これは、良いことです。
しかしこれは「人の温もり」も同時に失われます。
つまり、血の通っていない医療。
私たちはこの状態に疑問を投げかけます。
患者さんは物理的な改善だけでなく、
納得や安心を含めた
精神的な改善も求めています。
両方を改善するのが、
私たちの在り方。





説明したという事実が重要なのではなく、患者さんが説明内容を理解し、じっくり検討できる環境作りが重要と考えます。
詳しくはこちら

「お口の健康は全身の健康に通ず」と言われ、近年、両者の密接な関連が指摘されています。当院では「予防歯科」に力を入れることで、身体の健康も守ります。
詳しくはこちら

お子さんCHILD



詳しくはこちら
大人ADULT



詳しくはこちら
高齢者ELDERLY



詳しくはこちら




※ 写真中央のスライダを左右にドラッグして画像を比較できます


歯軋りで、歯がすり減って短くなった歯をオールセラミッククラウンとダイレクトボンディングで審美的回復をした治療ケース


色と形のアンバランスをセラミック矯正とホワイトニングで治療したケース。被せにしていますが、歯の神経は残しています


歯周病と虫歯があり、歯周組織再生治療を行ったあと、右側はインプラント、左側はセラミッククラウンで治療を行ったケース


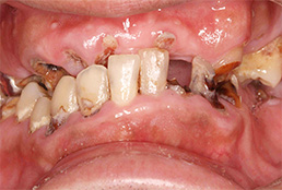
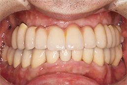
虫歯でボロボロになった歯を上顎は精密な入れ歯、下顎はインプラントやセラミッククラウンを使用して包括治療を行ったケース


虫歯や歯周病でボロボロになった歯をインプラント、義歯を含めた包括治療をしたケース


前歯の義歯をインプラントに置き換えて審美的、機能的回復をしたケース



各分野の「プロフェッショナル」が在籍






当院の特徴をご紹介します。総合歯科診療の実践、精密機器の充実(CTやマイクロスコープ等)、専門分野を持ったドクターによるチーム医療、拡大視野で行う精密歯科治療、大学病院レベルの滅菌体制。岡山市北区の歯医者、政久歯科醫院。「城下駅」より徒歩1分。岡山シンフォニービル2F。


皆さんおっしゃいます。 「こんな治療がしたかった」と。
皆さんから評価が高い治療をご紹介します。25年以上/3000症例以上のドクターが担当するインプラント治療、抜歯を回避し再発を防ぐ米国式マイクロスコープ根管治療、マウスピース型矯正装置(インビザライン)を利用した矯正歯科治療、抜歯を回避する治療(エクストリュージョン、破折歯等)。岡山市北区の歯医者、岡山シンフォニービル2Fの政久歯科醫院。「城下駅」より徒歩1分。
精密根管治療成功率90%以上の 「米国式」根管治療

他院で抜歯と言われた歯でも残せる可能性があります。セカンドオピニオンにも対応。

インプラント寝ている間に終わる 「睡眠無痛治療」

25年以上/3000症例以上を担当したドクターが在籍。セカンドオピニオンにも対応。

歯周病/歯槽膿漏グラグラした歯に 効果的な「再生療法」

何度も再発している方、他院で抜歯と言われてしまった方。お問い合わせください。セカンドオピニオンにも対応。

ボロボロの歯の虫歯や歯周病で 歯が「ボロボロ」の方





歯科恐怖症の方向けの対応も行っています。
寝ている間に治療が終わる睡眠無痛治療。

セカンドオピニオン対応
~寄り添い、共に考える~
「こんなこと言うと、笑われるのではないか?」
「こんな質問をしたら、失礼かもしれない」
そんなことはありません。
遠慮は一切不要ですので、
あなたが思うこと、求めること、
私たちにお伝えください。
共に、歩みましょう。
























