【症例】オールオン X:全顎インプラント治療
2025年3月7日
 |
 |
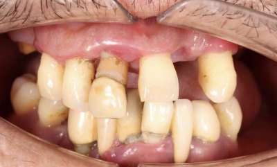
| 【Before】 |
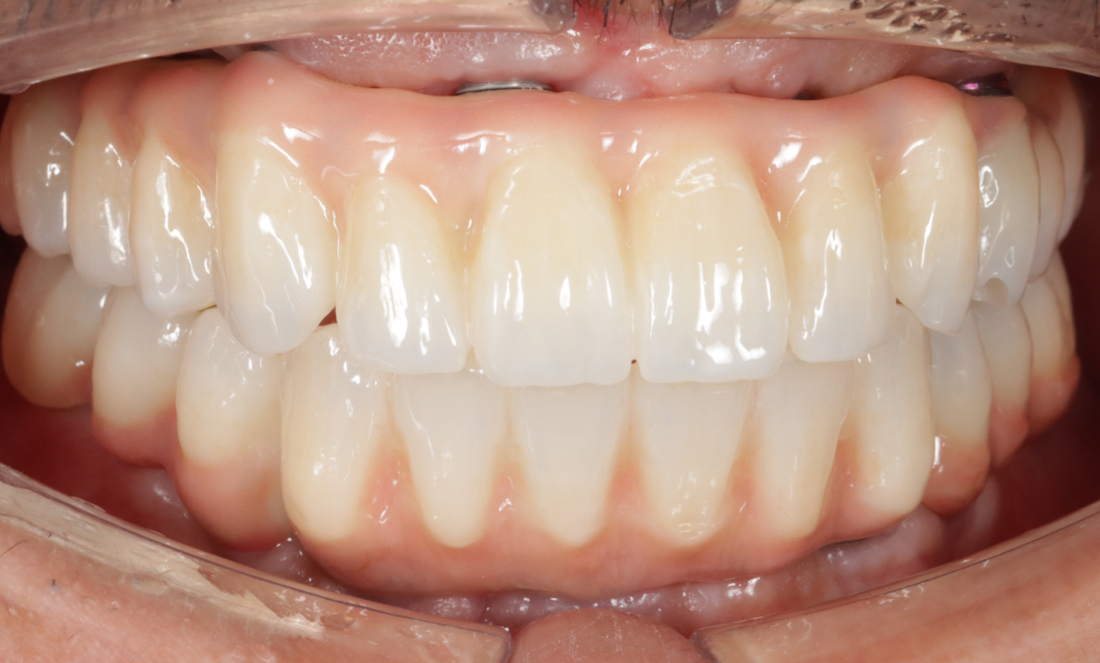
【After】 |
 |
 |
| 【Before】 |
【After】 |
| 治療名称 |
オールオン X:全顎インプラント治療 |
| 治療費用 |
1000 万円 |
| 治療期間 |
10 か月 |
| メンテナンス頻度 |
2 か月に1度 |
| 治療内容 |
・すべての歯を抜歯せざるを得ない状態であったため、抜歯を行いインプラント治療を計画
・歯がない状態で過ごす期間がないように、インプラントを入れたその日に仮歯をいれる即日荷重を行っ
た
・X-guide(インプラントオペナビゲーションシステム)を使用して、正確な位置にインプラントを埋入 |
| 治療の注意(リスク・副作用) |
・インプラントが骨と結合しない可能性があります |
政久歯科醫院のインプラント治療についてはこちら⇨
政久歯科醫院のインプラント治療(オールオン4)についてはこちら⇨
【症例】インプラントブリッジ
2025年3月7日
 |
 |
| 【Before】 |
【After】 |
| 治療名称 |
インプラントブリッジ |
| 治療費用 |
インプラント埋入 200,000 円×3 本=600,000 円
セルコンプレミアム(ブリッジ) 700,000 円 |
| 治療期間 |
8か月 |
| メンテナンス頻度 |
2か月に1度 |
| 治療内容 |
・多数歯欠損に対するインプラント治療
・全顎補綴治療 |
| 治療の注意(リスク・副作用) |
・噛み合わせやインプラントの状態を確認するために頻繁に通院していただく時期がある
・しっかりとしたブラッシング(歯磨き)の習慣を確立していただく必要がある |
政久歯科醫院のインプラント治療についてはこちら⇨
【症例】インプラント
2025年2月21日
 |
 |
| 【Before】 |
【After】 |
 |
 |
| 【仮歯を外した状態】 |
【インプラント埋入後のレントゲン】 |
| 治療名称 |
インプラント |
| 治療費用 |
インプラント 1 本 599,500円
オールセラミック 1 本 198,000 円 |
| 治療期間 |
1年 |
| メンテナンス頻度 |
3ヵ月に1度 |
| 治療内容 |
・事故で前歯を1本失い、周りの歯は欠けてしまった患者様です
・当院に来院されたときは他医院での応急処置が終わり仮歯の状態でした
・右上 1 番目の歯は、歯ぐきが陥没しており、このままではこの歯だけかが⾧くなる為、骨造成(骨を増やす)、歯肉移植を行い審美的回復
・審美的回復後、インプラントを埋入
・最終的にインプラント部を含め前歯4本を オールセラミックで被せた |
| 治療の注意(リスク・副作用) |
・インプラント周囲炎が起こる場合があります
・根尖性歯周炎が起こる場合があります |
政久歯科醫院のインプラント治療についてはこちら⇨
【症例】右下5番インプラント(抜歯即時埋入)
2025年2月18日

| 治療名称 |
右下5番インプラント(抜歯即時埋入) |
| 治療費用 |
骨造成 100,000 円
インプラント埋入 230,000 円
プロビジョナル 15,000 円
オールセラミックス・ジルコニアスタンダード 150,000 円 |
| 治療期間 |
3ヶ月 |
| メンテナンス頻度 |
2か月に1度 |
| 治療内容 |
・右下前から5番目の歯に動揺があり、検査の結果歯根破折していたため抜歯
・抜歯したその日にインプラントを埋入(X-guide を使用)
・3か月後に問題ないことを確認して最終的な補綴物をセット |
| 治療の注意(リスク・副作用) |
・治療後に痛みが出る可能性あり
・インプラントが生着しないことがあります |
政久歯科醫院のインプラント治療についてはこちら⇨
初診「個別」相談へのご案内
当院では、患者さんが抱えていらっしゃるお口のお悩みや疑問・不安などにお応えする機会を設けております。どんなことでも構いませんので、私たちにお話ししていただけたらと思います。
ご興味がある方は下記からお問い合わせください。
岡山シンフォニービル2F「城下駅」より徒歩1分
086-234-5255
- 【月・火・金】 9:30~13:00 / 14:30~18:00
- 【水】 9:30~12:00 / 14:30~19:00
- 【木】 9:00~12:30 / 14:00~17:00