【症例紹介】2年間のマウスピース矯正治療で、下の歯のガタガタした見た目と舌の痛みから解放。|岡山市にある歯医者【政久歯科醫院】
2026年1月26日
目次
「歯並びが気になって、思いきり笑えない」
「歯磨きをしても、いつも同じところに歯石がたまる」
「舌に歯型がついて、地味に痛いのがつらい」
こうした悩みを、
“もう仕方がないもの”として受け入れてしまっている方は、決して少なくありません。
今回ご紹介する患者様も、まさにそうでした。
インビザライン矯正で、その長年の悩みから解放された症例です。
ずっと気になっていたけど、誰にも言えなかった歯並びの悩み
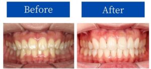
今回の患者様は、歯列が狭く、下の前歯はハッキリと分かるほどガタガタしていました。
その影響で、
- • 舌に歯の型がくっきりついて痛みも感じる
- • 口を開ける時、笑う時に歯のガタガタが気になってしまう
- • 歯磨きがしづらく、磨いているのに歯石が溜まる
といった不快感が、長年続いていたそうです。
さらに、上の前歯がやや前に出ていることで、横顔の印象にもコンプレックスを感じ、
「人から指摘されるほどではないけれど、自分ではずっと気になっている」
そんな気持ちを抱えながら、来院されました。

「ここまで変わるんだ」——ご自身の歯並びの未来が見えた瞬間
矯正検査では、口腔内スキャナー(アイテロ)を使って、歯並び・噛み合わせ・歯列の幅を立体的に確認し、治療完了時の状態のシュミレーションを行いました。
そこで分かったのは、
- • 下顎全体の歯列が狭く、歯が重なっていること
- • 本来あるべきアーチ(歯並びのカーブ)が失われていること
そして、
マウスピース矯正によって歯列のアーチを広げ、歯を正しい位置に並べることで、
見た目だけでなく「舌の居場所」もつくれる可能性があるということでした。
治療シミュレーションを見た患者様は、
「ここまで整うなら、やってみたい」と、矯正治療を決意されました。
矯正治療が進むにつれて、見た目も、感覚も変わった
治療では、マウスピース矯正(インビザライン)を使って
下顎の歯列全体を少しずつ外側へ広げながら、歯を並べていきました。
その結果、
- • 下顎のガタついた歯並びがきれいに整い
- • 歯列のアーチが自然な形に広がり
- • 舌が歯に押し付けられることのない、十分なスペースが確保されました
見た目の印象はもちろん、
患者様ご自身が一番驚かれていたのは「口の中の感覚がまったく違う」という点でした。

「ずっと悩んでいたのが、嘘みたいです」
治療後、患者様は
「下の歯の見た目を気にしなくてよくなりました。」
「舌が痛くないし、歯磨きもしやすいです。」
と、とても嬉しそうにお話ししてくださいました。
見た目のコンプレックスと、日常的に感じていた痛みや違和感——
その両方から解放された喜びの気持ちが、言葉の端々から伝わってきました。

「私の歯並びも、相談してみようかな」と思った方へ
今回の結果は、「たまたまうまくいった特別なケース」ではありません。
- • 下の前歯のガタつきが気になる
- • 歯列が狭く、舌や頬が当たる
- • 歯並びのせいで、ずっと小さなストレスを感じている
こうしたお悩みを持つ方は、実はとても多くいらっしゃいます。
そして「本当に矯正治療で変わるのか・・・」という不安をと感じられているようです。
矯正治療は、見た目を整えるだけのものではありません。
- • 長年のコンプレックス
- • 毎日感じていた小さな痛みや不快感
- • 無意識に我慢してきたストレス
それらから解放される治療でもあります。
歯並びのお悩み、相談してみませんか?
政久歯科醫院では、まずはお話を聞く「矯正無料相談」を行っています。
- ・私の場合も、同じように変われるのかな?
- ・マウスピース矯正とワイヤー矯正、自分にはどんな矯正があっているの?
- ・期間や費用はどのくらいかかるの?
など、矯正治療の気になる疑問を歯科医院でご相談いただけます。
▼無料相談のご予約はこちら▼

この記事の監修者
院長:政久 直紀

経歴
- 広島大学歯学部 卒業
- 医療法人光済会 森本歯科医院 勤務
- 医療法人明生会 明生会歯科診療所 院長
- 政久デンタルオフィス 開業
- 政久歯科醫院 移転開業
- 医療法人社団BLISS 開設

























